Títol d'Expert en Rehabilitació Estètica Dental
Inici
- Tipus de programa
- Cursos d'especialització
- Campus
- Campus Sant Cugat
- Durada
- des del 16-01-2026 al 27-06-2026
- Crèdits
- 8.5 ECTS
- Horari
- Divendres de 9 h. a 18.30 h. i dissabte de 9 h. a 14 h.
- Llengua
- Castellà (idioma secundari: anglès)
- Places
- Limitada
- Modalitat
- Presencial
Presentació
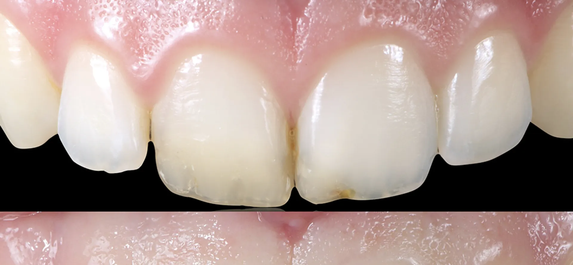
El programa ofereix una visió àmplia de la rehabilitació estètica dental actual, es repassen els conceptes bàsics i avançats en rehabilitació estètica dental. El curs pretén que l'alumne faci un salt de qualitat en els tractaments rehabilitadors que fa, i que pugui afrontar tractaments més complexos (rehabilitacions sobre dents i implants) amb més seguretat.
Durant les pràctiques l'alumne podrà fer tots els procediments sota la magnificació de diferents augments (lupes i microscopis). Durant la part pràctica l'alumne estarà acompanyat pel professorat. Durant el curs es faran sessions de seguiment de casos.
Mètode d’avaluació
Es farà un test d’autoavaluació en línia en acabar el curs perquè l’alumnat pugui valorar la consecució dels objectius personals i el coneixement sobre el contingut del curs.
Objectius del curs
- Ensenyar els coneixements actuals en rehabilitació avançada
- Formar en operatòria dental
- Ensenyar tècniques avançades en casos complexos
- Formar l'alumne davant els casos simples i complexos
- Formar en fotografia dental
- Planificar tractaments rehabilitadors
- Manejar noves tecnologies
- Saber valorar la dificultat d'un cas clínic i planificar-lo correctament
Competències que ha d’adquirir l’alumne
- El curs "Títol d'expert en rehabilitació estètica dental" aporta una actualització de coneixements, tècniques i protocols d'actuació seguint les últimes tendències en l'especialitat.
- L'alumne progressa i fa un salt de qualitat en els seus tractaments rehabilitadors. Com que és un curs eminentment pràctic, l'alumne practica amb una gran quantitat de materials sota la supervisió constant d'un professor. Aquest fet permet a l'alumne comparar i veure quins materials són els més òptims per afrontar casos de més complexitat.
- Un cop acabat el programa "Títol d'expert en rehabilitació estètica dental", l'alumne serà capaç d'afrontar amb criteri la majoria de tractaments complexos.
A qui es dirigeix
El curs "Títol d'expert en rehabilitació estètica dental" és un programa que va dirigit a tots aquells professionals (metges estomatòlegs o odontòlegs) que volen actualitzar i ampliar els seus coneixements en el camp de la rehabilitació oral.
Altres estudis similars
- Indirect Adhesive Restoratios, Inlay, Onlay and Overlay. from Design to Cementation
- Restauracions adhesives indirectes, inlay, onlay i overlay. Del diseny al cementat
- Actualització en Radiologia Oral
- Anquiloglòssia: una Visió Multidisciplinar
- Aspectes teòrics en sedació conscient amb òxid nitrós i altres tècniques en odontologia
- Bioceràmics en el Tractament de Dents Permanents Joves
Equip docent
Coordinadors del curs
Professors
Dr. Miguel Roig, Dr. Luis Jané, Dr. Juan Basilio, Dr. Joan de Ribot, Dr. Roldán Cubero, Dra. Marta Vallés, Dr. García Amorós, Dr. José Espona, Dr. Luis Valdés, Dr. Perez Sanz, Dr. Soliva, Dr. Akram Ali, Dr. Jordi Ortega, Dr. Sergio Morelló, Dra. Mercedes Forero, Dr. Antonio Morelló.
Els coordinadors i professors no tenen cap relació financera amb empreses que suposi un conflicte d’interessos amb el curs.
Requisits d'admissió
- Ser metge estomatòleg o odontòleg.